Aller au contenu principal
Menu du compte de l'utilisateur
    S’abonner Boutique Newsletters Se connecter
Navigation principale
  • Le fil
  • Archives
  • En kiosque
  • Dossiers
  • Philosophes
  • Lexique
  • Citations
  • EXPRESSO
  • Agenda
  • Masterclass
  • Bac philo
 Philosophie magazine : les grands philosophes, la préparation au bac philo, la pensée contemporaine
rechercher
Rechercher

Photogramme issu de “Notre Corps” (Claire Simon, 2023). © Dulac Distribution

Entretien

Claire Simon : “L’expérience que les femmes ont de leur corps est encore trop passée sous silence”

Claire Simon, propos recueillis par Ariane Nicolas, publié le 03 octobre 2023 8 min

La réalisatrice Claire Simon sort Notre Corps, un documentaire sur un service hospitalier parisien qui gère les soins spécifiques aux femmes, de la naissance à la mort. Un regard fascinant et essentiel sur des réalités longtemps cachées. Rencontre.

 

Comment est née cette idée de filmer pendant plus d’un an cette unité hospitalière réservée aux femmes ?

Claire Simon : En 2008, j’avais réalisé un film, Les Bureaux de Dieu, sur le planning familial. Il était basé sur des verbatims d’entretien que j’avais enregistrés ; des actrices (Nathalie Baye, Nicole Garcia, Béatrice Dalle…) jouaient les rôles des personnes du planning, aux côtés d’interprètes non professionnels. J’en suis ressortie avec un petit goût d’inachevé, parce que je n’avais pas pu suivre les questions liées à la grossesse et l’accouchement. Il y a quelques années, ma productrice Kristina Larsen m’a informée de l’existence de ce service dans un hôpital parisien. Ce que je trouvais beau dans ce qu’elle m’avait raconté, c’est que cette unité comprenait tout ce qui concerne les pathologies ou, disons plutôt, les réalités liées à la gynécologie, y compris la transition de genre. Contraception, avortement, grossesse, accouchement, PMA, endométriose, kystes ovariens, cancer du sein, etc. Ces éléments font partie d’un même univers, marquant différentes étapes sur le chemin de la vie d’une femme. Je trouve très intéressant que les médecins aient pensé ce service avec cette approche globale. Car objectivement, ces réalités ont un impact très fort sur nos vies – amoureuses, amicales, familiales, professionnelles. Alors que si vous vous cassez une jambe ou si vous avez un cancer du poumon, les implications intimes ne sont pas les mêmes.

“C’est très différent de savoir que l’endométriose existe, et de voir une femme de chair et d’os qui subit l’endométriose, qui pleure, puis qu’on voit se faire opérer” Claire Simon

 

Ces implications sont parfois heureuses, mais souvent difficiles à traverser…

Je suis partie du constat que fait Simone de Beauvoir dans Le Deuxième Sexe, à savoir : les hommes et les femmes sont des individus qui ont les mêmes facultés et peuvent prétendre aux mêmes fonctions sociales, mais il existe une grosse différence entre les deux, c’est que les femmes ont ce destin de la reproduction de l’espèce ancré en elles. Cette distinction est à la fois un fardeau et une chance extraordinaire. Mais qu’on le veuille ou non, ce destin nous occupe beaucoup quand même ! Les femmes consultent des gynécologues depuis leur puberté jusqu’à la ménopause, et parfois plus. Toutes ces étapes ne sont pas toujours faciles à vivre et surtout, elles ne sont pas assez connues, racontées. L’expérience que les femmes ont de leur corps est encore trop passée sous silence. On montre les corps des femmes pour leur beauté, pour cette arme fatale qu’est l’esthétique du corps féminin, mais ce qu’il en est de la vie du point de vue d’une femme, c’est totalement mis de côté. Et c’est précisément cette face cachée de la vie des femmes que j’ai voulu mettre en lumière.

 

Il y a tout de même de plus en plus de témoignages sur ces sujets, notamment sur les réseaux sociaux – sur l’IVG, la transition de genre, le post-partum... Qu’apporte en plus le cinéma ?

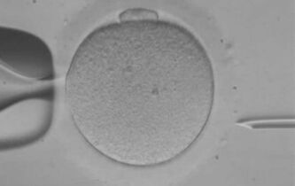
La caméra permet de montrer concrètement à quoi ça ressemble, comment les choses se passent physiquement et psychologiquement. C’est très différent de savoir que l’endométriose existe, et de voir une femme de chair et d’os qui subit l’endométriose, qui pleure en racontant son expérience face au médecin, puis qu’on voit se faire opérer. L’image apporte une forme d’incarnation, une vérité supplémentaire. De la même manière, on connaît tous les mots de FIV ou PMA, mais qu’en sait-on vraiment ? Je suis sûre qu’il y a 99,99% des gens qui n’ont pas la moindre idée de comment ça se passe ! Or c’est absolument fascinant comme processus médical. À un moment, je filme en temps réel comment un spermatozoïde est inséré dans un ovule. C’est extrêmement délicat, lent, impressionnant. Le rendu sur l’écran du microscope est assez surréaliste, on dirait un tableau abstrait. J’étais éblouie, je me suis dit : « Voilà, on a eu les représentations de la Vierge à l’Enfant, maintenant c’est le spermatozoïde qui rentre dans l’ovule » !

 

En suivant tous ces parcours de vie, on comprend que le soin n’est pas seulement une technique, il implique une relation éthique avec le ou la patiente. Je pense notamment à la séquence d’ouverture, quand une adolescente vient consulter pour une IVG, alors qu’elle est contre l’avortement…

En effet. Notre Corps n’est pas un documentaire sur l’hôpital comme institution. Je n’ai pas voulu filmer les problèmes de suppression des lits, la dureté du travail, les contraintes de l’administration, les sacrifices du personnel soignant, qui sont bien réels. Je voulais plutôt embrasser une forme d’arc, de la naissance à la mort. Chaque personne qui franchit la porte de ce service arrive avec un récit intime, propre à soi, qu’elle livre avec plus ou moins de facilité. Ce qu’a vécu cette jeune fille et la façon dont elle s’en saisit m’a beaucoup touchée. Elle a eu un rapport sexuel dans un parking, dont elle dit qu’il était consenti. L’adolescente est contre l’avortement mais elle ne veut pas garder l’enfant. Si elle devenait mère, en effet, cela signifierait sans doute un placement en foyer, une vie chamboulée... Elle s’y refuse. Tout d’un coup, elle voit à quel point elle va avoir besoin de prendre les choses en main. Elle n’est pas perdue, elle a pris sa décision et elle s’y tient remarquablement.

“Notre Corps n’est pas un documentaire sur l’hôpital comme institution. Je voulais plutôt embrasser une forme d’arc, de la naissance à la mort” Claire Simon

 

Les hommes sont peu présents dans le documentaire et en même temps, c’est comme si leur existence pesait toujours, d’une manière ou d’une autre, dans la façon dont les femmes appréhendent leur corps.

Des hommes sont là fréquemment, mais ils préfèrent rester dans la salle d’attente. Parfois ils accompagnent leur femme ou leur fille en consultation, mais c’est plus rare. Inversement, il m’est arrivé plusieurs fois de demander à des patientes si elles acceptaient d’être filmées… et elles n’avaient pas le temps de répondre, l’homme qui les accompagnait disait non à leur place ! Je n’en revenais pas. Je n’avais jamais vécu aussi frontalement le fait qu’il y ait des tas d’hommes qui pensent que le corps de leur femme ou de leur fille leur appartenait. Certaines se sont quand même battues pour apparaître à l’écran et je suis heureuse qu’elles l’aient fait. Je sentais qu’il y avait une sorte de conscience de la part de ces femmes de l’intérêt à partager leur expérience avec les spectatrices.

 

Pendant le tournage, vous avez découvert par hasard que vous souffriez d’un cancer du sein. Vous avez fait le choix de vous filmer, passant ainsi du statut de réalisatrice à celui patiente. Pourquoi ?

Le fait d’avoir rencontré tant de femmes avant d’apprendre que j’étais malade m’a beaucoup aidée. Je connaissais un peu le protocole, ce qui allait se passer... Je pense que si je n’avais pas été en train de faire ce film, j’aurais été absolument désespérée. J’ai fait le choix de me filmer parce que je trouvais intéressant de montrer que les mauvaises nouvelles peuvent arriver à tout le monde. À ce moment, le documentaire n’est plus seulement un regard objectif sur le monde, il se teinte d’une subjectivité car je passe devant la caméra et le film devient aussi mon histoire personnelle. Par ailleurs, je souhaitais filmer une consultation d’annonce d’un cancer et c’était trop délicat de le faire avec une patiente. Donc quand j’ai été touchée à mon tour, j’ai pu filmer une annonce en toute sérénité, si j’ose dire. Il faut quand même savoir que ces médecins voient trente patientes chaque matin. Vous vous rendez compte ?

 

Ce service est aussi un lieu de savoir, les médecins échangent en permanence entre eux, débattent…

C’est le doute en permanence. Le doute et la recherche, disons. Ces femmes et ces hommes font preuve d’une si grande humilité. Dans ma vie, j’ai longtemps côtoyé les hôpitaux car mon père était malade et je lui rendais très souvent visite. Je n’en avais pas forcément gardé un excellent souvenir. J’étais donc un peu crispée, avant de tourner Notre Corps... Mais j’ai été impressionnée par leur niveau d’engagement et de recherche. Même si je n’ai gardé qu’une seule de leurs réunions au montage, à chaque fois c’était passionnant, ils étaient au courant de tout, un article venait d’être publié la veille aux États-Unis, ils en discutaient pour savoir s’il fallait adapter leurs pratiques. Ce sont d’authentiques passionnés.

“L’image apporte une forme d’incarnation, une vérité supplémentaire” Claire Simon

 

Vous ne passez pas sous silence les critiques dont les médecins font parfois l’objet, sur la question des violences gynécologiques et plus généralement, sur leur position dominante face aux patient(e)s.

Cette question est essentielle. Dans un hôpital où viennent toutes sortes de classes sociales, on remarque que les personnes issues d’origine plus modeste ou qui ne parlent pas très bien français n’osent pas toujours poser des questions ni dire tout haut ce qu’elles ont en tête. Sous prétexte que le médecin est quelqu’un de fort et savant, on peut être tenté de se soumettre à son pouvoir. Mais ce problème concerne potentiellement tout le monde. Moi par exemple, dans ma première consultation, le médecin me dit : « Il va falloir passer par la chirurgie. » Puis il dit plus rien. Alors je suis obligée de lui dire : « Dites-moi ce que vous voulez dire par “chirurgie”. » Et je comprends qu’on va devoir m’enlever un sein. Donner le maximum d’information est une question de déontologie, de respect des patients, et également une manière de rassurer, de ne pas laisser les femmes seules avec leurs interrogations.

 

Dès l’introduction de Notre Corps, vous traversez le cimetière du Père-Lachaise et placez ainsi le film sous le signe de la mort. Vous abordez cette question à la fin du documentaire, avec les soins palliatifs. Cela a-t-il été dur ?

Mon premier film documentaire portait sur les derniers mois d’exercice d’un médecin généraliste qui partait à la retraite. Ce statut du médecin comme intermédiaire entre un individu et la mort m’a toujours travaillée. Je trouvais comique, et en même temps intimidant, le fait qu’entre chez moi et l’hôpital, il y ait le cimetière. En tournant Notre Corps, je n’aurais jamais imaginé approcher d’aussi près ce vertige. Je montre notamment une conversation entre une médecin et une femme atteinte d’un cancer, qui doit partir en soins palliatifs. Cette dame dit qu’elle a déjà téléphoné aux obsèques. On comprend qu’elle est seule au monde ou presque, il n’y a que sa sœur… Je n’en revenais pas. C’était bouleversant. Quand elle dit qu’elle a pensé à organiser son propre enterrement, je me suis dit : « Voilà, ça c’est le réel. C’est fou. »

 

Notre Corps, de Claire Simon, est en salles à partir du 4 octobre 2023.

C. Simon : “Je voulais embrasser une forme d’arc, de la naissance à la mort”
Les concepts liés à cet article
Cartésianisme
Désir
Dualisme
Faculté
Matérialisme
Matière
Passion
Plaisir
Vie
Voir tout le lexique
Expresso : les parcours interactifs
Les mots pour dire « je t'aime »
Pourquoi est-ce si difficile d'exprimer notre amour avec justesse et élégance ? Bergson nous montre que le langage lui-même peine à restituer l'immense diversité de nos sentiments.
Découvrir Tous les Expresso
Sur le même sujet
Article
8 min
PMA: un panorama des positions philosophiques
Cédric Enjalbert 05 juillet 2019

Le gouvernement présente son projet de loi bioéthique, et son volet concernant l’ouverture de la procréation médicalement assistée (PMA) aux…

PMA: un panorama des positions philosophiques

Article
3 min
Les deux corps des présidents américains
Jean-Marie Pottier 06 octobre 2020

Dans Les Deux Corps du roi. Essai sur la théologie politique au Moyen Âge (1957), Ernst Kantorowicz donne une définition de cette « …

Les deux corps des présidents américains

Article
8 min
Une liberté paradoxale
Michel Eltchaninoff 26 février 2009

Avec les progrès de la médecine, la contraception et la procréation assistée, faire des enfants est devenu une question de choix. Mais, entre le désir hédoniste, la pression sociale et l’instinct animal, cette décision apparemment…


Article
6 min
Philosopher en corps
Yannis Constantinidès 14 mars 2023

« Un philosophe qui a traversé plusieurs états de santé a passé par autant de philosophies » ; avec Nietzsche, pour la première fois peut-être, le corps pense. L’auteur du Gai Savoir, qui voit la maladie comme un…


Article
1 min
Notre corps
18 septembre 2023

Dans un hôpital parisien, Claire Simon filme un service où des femmes se croisent, avec leurs espoirs, leurs désirs, leurs peurs. Mais le destin de la documentariste croisera bientôt le leur.


Article
8 min
Anne Dufourmantelle : “Le silence de l’analyste est un silence habité”
Cédric Enjalbert 12 octobre 2016

Philosophe et psychanalyste, auteur d’une “Défense du secret” (Payot, 2015), Anne Dufourmantelle donnera une “leçon” consacrée au “silence dans la…

Anne Dufourmantelle : “Le silence de l’analyste est un silence habité”

Article
4 min
Claire Marin : “La maladie change notre façon d’être”
Philippe Garnier 28 mai 2015

La philosophe et romancière Claire Marin a longtemps réfléchi à la question de la souffrance avant de connaître elle-même une longue maladie. Récit d’une expérience douloureuse, qui approfondit et nuance le travail sur les concepts. …


Article
6 min
Philippe Huneman : “Définir la maladie est quelque chose de très compliqué si l’on veut rester rigoureux”
Michel Eltchaninoff 16 septembre 2020

« Porteur sain », « cas contact », « épidémie »… Par temps de Covid, nous voilà soudainement confrontés à ces…

Philippe Huneman : “Définir la maladie est quelque chose de très compliqué si l’on veut rester rigoureux”

À Lire aussi
Philippe Huneman : “‘Hold-up’ est un tissu de mensonges, mais il exprime quelque chose de vrai”
Philippe Huneman : “‘Hold-up’ est un tissu de mensonges, mais il exprime quelque chose de vrai”
Par Ariane Nicolas
novembre 2020
Simone de Beauvoir : elle-même comme une Autre
Comment devient-on Simone de Beauvoir ?
Par Victorine de Oliveira
octobre 2023
Claire Marin : “L’intensité des relations revient, pour le meilleur et pour le pire”
Claire Marin : “L’intensité des relations revient, pour le meilleur et pour le pire”
Par Michel Eltchaninoff
mars 2020
  1. Accueil-Le Fil
  2. Articles
  3. Claire Simon : “L’expérience que les femmes ont de leur corps est encore trop passée sous silence”
Philosophie magazine n°178 - mars 2024
Philosophie magazine : les grands philosophes, la préparation au bac philo, la pensée contemporaine
Avril 2024 Philosophe magazine 178
Lire en ligne
Philosophie magazine : les grands philosophes, la préparation au bac philo, la pensée contemporaine
Réseaux sociaux
  • Facebook
  • Instagram
  • Instagram bac philo
  • Linkedin
  • Twitter
Liens utiles
  • À propos
  • Contact
  • Éditions
  • Publicité
  • L’agenda
  • Crédits
  • CGU/CGV
  • Mentions légales
  • Confidentialité
  • Questions fréquentes, FAQ
À lire
Bernard Friot : “Devoir attendre 60 ans pour être libre, c’est dramatique”
Fonds marins : un monde océanique menacé par les logiques terrestres ?
“L’enfer, c’est les autres” : la citation de Sartre commentée
Magazine
  • Tous les articles
  • Articles du fil
  • Bac philo
  • Entretiens
  • Dialogues
  • Contributeurs
  • Livres
  • 10 livres pour...
  • Journalistes
  • Votre avis nous intéresse